Skip to main content
Gaslight Village Family Dentistry
Dr. Joshua Wansten
Now accepting new patients! Book now >
Gaslight Village Family Dentistry
Dr. Joshua Wansten
Request an Appointment
Leave a Google Review
(616) 454-8228
Gaslight Village Family Dentistry
Pay Online
Home
About
Our Team
Technology
Practice Photos
Services
View All
Family Dentistry
Full Mouth Reconstruction
Full Smile Makeovers
Cosmetic Dentistry
Same-Day Crowns and Bridges
Emergency Dentistry
SureSmile® Clear Aligners
Preventive Dentistry
Porcelain Veneers
TMJ/Bruxism Treatment
Smile Gallery
Patient Info
View Patient Info
Testimonials
Forms
Financial
FAQs
Contact
Gaslight Village Family Dentistry
>
Smile Gallery
>
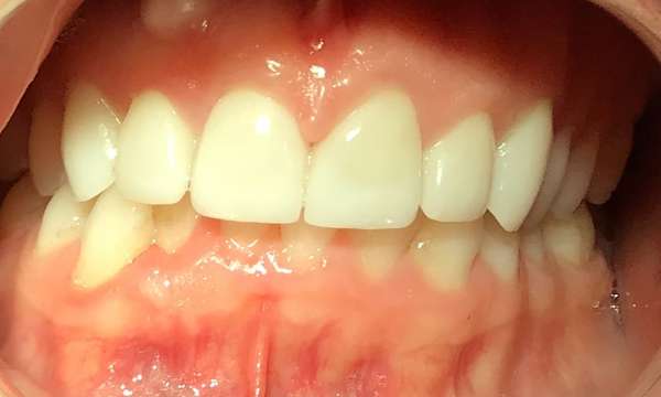
Whitening and Anterior Crowns
Whitening and Anterior Crowns
Return to Smile Gallery
Previous
Next
Related Services:
Cosmetic Dentistry
Same-Day Crowns and Bridges
Click image to see a larger picture
Before
After
Are You Ready to Book Your Next Dental Visit?
Contact Us
OK!
×
×
Contact Us Today
Give Us A Call
Gaslight Village Family Dentistry -
(616) 454-8228
Send Us an Email
Book Now
Contact Us
Ready to Schedule an Appointment?
Book Now
Have Questions? Contact Us:
Required Field
Your Name:
Phone:
Email:
Are you a new patient?:
Are you a?
New Patient
Current Patient
How would you like us to contact you?
Please choose
Email
Call
How did you hear about us?
Please choose
I'm an existing patient
Google/Bing
Mailer
Word of mouth
Social media
Other
Who Referred You?:
Appointment Preferences
Monday
Tuesday
Wednesday
Thursday
Your Message:
This site is protected by reCAPTCHA and the Google
Privacy Policy
and
Terms of Service
apply.
Sending...
×
This Patient's Experience
Loading Testimonial...
Loading Case...