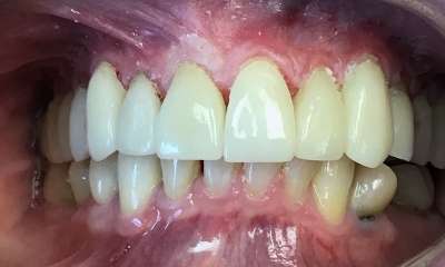
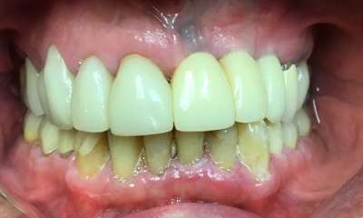
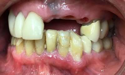
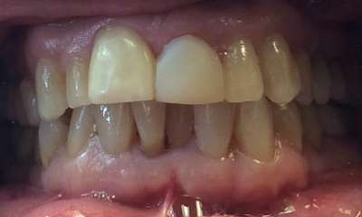
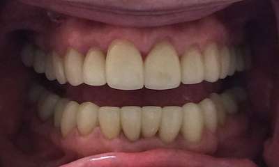
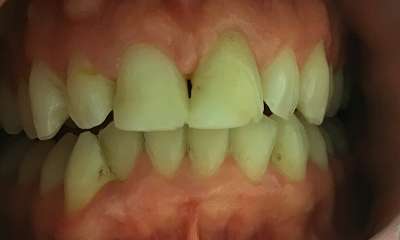
Smile Gallery

At Gaslight Village Family Dentistry, we aim to provide the highest standard of care and long-lasting results using updated materials, techniques, and technology. If you're considering dental work and wonder about the possible results, browse through our gallery of before and after pictures of actual patients and get inspired!

We Warmly Welcome New Patients to Our Practice
A Great Family Dental Experience.

Love it here!! Super easy, staff is helpful, friendly and professional. Our family has gone here for many years. Dr Josh is great, love Kaitlyn our hygienist. Highly recommend!!

- Jen